اگه میخواید با بهترین دکتر ایمپلنت در تهران مشاوره داشته باشید شماره همراه خود را وارد کنید تا بصورت رایگان مشاوره دریافت کنید
ایمپلنت در تهران به عنوان یک روش موثر برای جایگزین کردن دندانهای از دست رفته میباشد؛ از این رو انتخاب بهترین دکتر ایمپلنت در تهران که از تجربه و تخصص بالایی برخوردار است، حائز اهمیت میباشد. لیست ده تایی بهترین متخصص ایمپلنت در تهران باید قابلیت راهنمایی بیماران و ارائه مشاوره کامل به آنها را داشته باشد. این پزشکان باید بتوانند خواستهها و نیازهای بیماران را به بهترین شکل بشناسند و آنها را راهنمایی نمایند. یک دکتر ایمپلنت خوب در تهران همچنین باید تجربه و مهارت کافی برای کاشت دندان داشته باشد و برای مراجعه کنندگان خود محیطی مناسب و امکاناتی باکیفیت فراهم کند. بهترین دندانپزشک تهران برای ایمپلنت باید با آخرین پیشرفتهای علمی هماهنگ شده و از تکنولوژیهای پیشرفته و جدید استفاده نماید. در ادامه با ما همراه باشید تا به معرفی بهترین متخصص ایمپلنت تهران بپردازیم.
بهترین متخصص ایمپلنت دندان در تهران
اگر به دنبال بهترین فوق تخصص ایمپلنت در تهران هستید و میخواهید درمان ایمپلنت خود را با بالاترین کیفیت انجام دهید، شناخت ویژگیهای بهترین دندانپزشک متخصص ایمپلنت اهمیت ویژهای دارد. موفقیت کاشت ایمپلنت دندان، علاوه بر مهارت جراح، به استفاده از تجهیزات مدرن و تکنولوژی روز، برنامهریزی دیجیتال، مشاوره تخصصی و رعایت استانداردهای جهانی بستگی دارد.
در تهران، کلینیک اسمارت ایمپلنت یکی از بهترین کلینیکهای تخصصی ایمپلنت دندان است که با بهرهگیری از تجهیزات دیجیتال، تیم پزشکی مجرب و خدمات اختصاصی ایمپلنت، درمانی مطمئن، بیدرد و با دوام را ارائه میدهد. تمامی مراحل کاشت ایمپلنت دندان در این مرکز، با کمترین میزان تهاجم، بیشترین دقت جراحی و استفاده از برترین برندهای ایمپلنت دنیا انجام میشود. مشاوره دقیق، طراحی لبخند سهبعدی، اسکن داخل دهانی و اجرای پروسه کاشت ایمپلنت با رعایت استانداردهای بینالمللی، کلینیک اسمارت ایمپلنت را به انتخاب اول بسیاری از مراجعین تبدیل کرده است.
در اسمارت ایمپلنت، روند درمان کاملاً شفاف است؛ گزینههای مناسبی با توجه به وضعیت فک و دندانهای شما پیشنهاد میشود و رضایت بالای بیماران، نشاندهنده استاندارد بالای خدمات کلینیک است. اگر به دنبال ایمپلنت دندان تهران یا متخصص ایمپلنت تهران هستید و میخواهید لبخند خود را مطمئن و زیبا بسازید، کافیست همین حالا با اسمارت ایمپلنت تماس بگیرید.
چرا انتخاب بهترین متخصص ایمپلنت اهمیت دارد؟
کاشت ایمپلنت یک فرآیند دندانپزشکی پیچیده است که نیازمند دانش تخصصی در زمینههای مختلف مانند جراحی، پروتز، و بیومکانیک است. انتخاب یک متخصص ایمپلنت دندان که دارای فوق تخصص مرتبط باشد، تضمین میکند که:
- برنامهریزی دقیق: استفاده از تصویربرداریهای پیشرفته (مانند CBCT) و نرمافزارهای برنامهریزی دیجیتال برای تعیین محل دقیق قرارگیری فیکسچر.
- جراحی کمتهاجمی: کاهش ریسک عوارض جانبی و تسریع روند بهبودی از طریق تکنیکهای جراحی پیشرفته.
- انتخاب برند مناسب: مشاوره تخصصی برای انتخاب ایمپلنتهای با کیفیت و سازگار با بدن (مانند برندهای سوئیسی، کرهای یا آمریکایی).
- طول عمر بالای نتیجه درمان: رعایت اصول بهداشتی و فنی در نصب ایمپلنت برای اطمینان از یکپارچگی استخوان و فیکسچر در بلندمدت.
خدمات تخصصی در کلینیک اسمارت ایمپلنت
کلینیک اسمارت ایمپلنت با تمرکز کامل بر خدمات ایمپلنتولوژی، مجموعهای از پیشرفتهترین خدمات را ارائه میدهد:
- ایمپلنت فوری (درمان یک روزه): در شرایط مناسب، امکان کاشت ایمپلنت و قرار دادن روکش موقت در یک جلسه.
- بازسازی استخوان (پیوند استخوان): انجام تکنیکهای پیشرفته پیوند استخوان و سینوس لیفت برای بیمارانی که دچار تحلیل استخوان شدهاند.
- ایمپلنتهای تحت هدایت کامپیوتری (Guided Surgery): استفاده از گایدهای جراحی دقیق برای اطمینان از قرارگیری ایمپلنت با زاویه و عمق ایدهآل.
- طراحی لبخند و ایمپلنتهای زیبایی: هماهنگی بین ایمپلنتها و دندانهای طبیعی برای رسیدن به نتایج زیبایی مطلوب.
راههای ارتباطی و آدرس کلینیک
برای دریافت مشاوره تخصصی و تعیین وقت توسط بهترین متخصص ایمپلنت دندان در تهران، میتوانید با ما در ارتباط باشید:
- تماس با اسمارت ایمپلنت: 02182805700
- آدرس کلینیک در گوگل مپ: آدرس کلینیک در گوگل مپ
- وبسایت رسمی: وبسایت: smartimplantcenter.com
بهترین ایمپلنت کار تهران کیست؟
انجام جراحی ایمپلنت با ظاهر زیبا و طبیعی، دوام و ماندگاری زیاد و کیفیت بسیار بالا همگی ارتباط جدایی ناپذیری با تجربه و مهارت متخصص ایمپلنت دارند. برای اینکه جراحی ایمپلنت شما موفقیت آمیز باشد و از نتیجه به دست آمده نهایت رضایت را داشته باشید، باید به دندانپزشکی مراجعه کنید که به صورت تخصصی در زمینه کاشت دندان مشغول فعالیت است. در نتیجه میتوانید از تجربه دندانپزشکی که ایمپلنت را به صورت تخصصی انجام میدهد اطمینان حاصل کنید و کاشت دندان خود را به او بسپارید. در نظر داشته باشید که بهترین فوق تخصص ایمپلنت در تهران درمان ایمپلنت را یک شاخه تخصصی میداند، نه یک درمان قابل ارائه در بین سایر خدمات دندانپزشکی.
بهترین متخصص ایمپلنت در تهران
ایمپلنت میتواند بهترین جایگزین برای دندانهای طبیعی باشد، اما تنها در صورتی که توسط بهترین دکتر ایمپلنت تهران انجام شود. در ادامه مقاله به بهترین دکتر ایمپلنت دندان در تهران اشاره میکنیم:
دکتر سامان کلانتری
در صورتی که به دنبال بهترین ایمپلنت کار تهران هستید، قطعا با نام دکتر سامان کلانتری روبرو خواهید شد. دکتر سامان کلانتری متخصص ایمپلنت و پروتزهای دندانی میباشد. ایشان بیش از ۱۰ سال سابقه در زمینههای مختلف دندانپزشکی دارد و توانسته است از بهترین دانشگاههای تهران فارغالتحصیل شود. از جمله سوابق و افتخارات ایشان میتوان به اخذ بورد تخصصی پروتز، مدرس دورههای ایمپلنت، استاد دانشگاه، عضو انجمن ایمپلنتولوژی ایران و … اشاره کرد. در مرکز تخصصی دکتر سامان کلانتری میتوانید ایمپلنت دندان را در سریعترین زمان ممکن و بدون درد و خونریزی انجام دهید. کلینیک ایشان مجهز به بروزترین تجهیزات دندانپزشکی میباشد و توانسته است بیش از ۵۰۰۰ واحد روکش لمینت، کامپوزیت و ایمپلنت موفق را برای مراجعه کنندگان خود انجام دهد.
تماس
09109897798
02188881577
جردن بالاتر از میرداماد کوچه مینا-پلاک9- طبقه5 واحد 25
نکات مهم در انتخاب بهترین دکتر ایمپلنت در ایران
از آنجایی که کاشت دندان از حساسیت بالایی برخوردار است و هزینههای آن بالا هستند، باید حتما به بهترین دندانپزشک ایمپلنت تهران مراجعه کنید. در زمان انتخاب دکتر متخصص ایمپلنت در تهران باید نکات مهمی را در نظر داشته باشید که عبارتند از:
تحصیلات
متخصص ایمپلنت به کسی گفته میشود که علاوه بر اخذ مدرک دندانپزشکی که ۶ سال طول میکشد، دورههای معینی نیز در زمینه گرایشهای مربوط به کاشت دندان و فک گذرانده باشد. اتمام این دورهها معمولا ۳ تا ۴ سال به طول میانجامد و پس از آن دندانپزشک میتواند انواع ایمپلنت را انجام دهد.
تجربه و تخصص
بهترین دکتر برای ایمپلنت باید از تجربه و تخصص کافی در این زمینه برخوردار باشد. برای اطلاع از تجربه و تخصص پزشک مورد نظر میتوانید تحصیلات و سوابق کاری او را مورد بررسی قرار دهید. علاوه بر این با بررسی نظر بیماران قبلی و مشاهده نمونه کارها به اطلاعات مهمی دست خواهید یافت.
محل مطب
برای داشتن بهترین ایمپلنت در تهران باید به طور مرتب به مطب دندانپزشک مراجعه کنید. بنابراین یکی از مهمترین نکاتی که باید به آن توجه کنید، دسترسی مناسب به مطب دندانپزشک است. باید به دنبال پزشکانی بگردید که محل مطب آنها مناسب میباشد.
استفاده از تکنولوژیهای جدید
بهترین پزشک ایمپلنت در تهران از جدیدترین تکنولوژیها در زمینه ایمپلنت استفاده میکند تا بیماران بهترین نتیجه را کسب کنند. استفاده از تکنولوژیهای پیشرفته منجر به افزایش سرعت مراحل درمان خواهد شد.
هزینه
در هنگام انتخاب بهترین دکتر ایمپلنت باید هزینههای این روش را نیز مد نظر داشته باشید. هزینه انجام این درمان به عوامل مختلفی مانند مراحل درمان، تعداد ایمپلنت مورد نیاز، نوع پروتز و ایمپلنت مورد استفاده و … بستگی دارد. معمولا پزشکانی که هزینه بسیار پایینی برای خدمات کاشت دندان خود در نظر میگیرند، کیفیت پایینی ارائه خواهند داد.
ایمپلنت چیست؟
ایمپلنت در تهران یک روش مناسب برای جایگزین کردن دندانهای از دست رفته یا دندانهای آسیب دیده میباشد. در این روش از یک پایه فلزی که معمولا از جنس تیتانیوم است استفاده میشود. این فلز به دلیل خواص شیمیایی و فیزیکی مناسب خود مثل استحکام، سبکی، قابلیت چسبندگی به استخوان و مقاومت بالا در برابر زنگ زدگی بهترین گزینه برای ایمپلنت دندان به شمار میرود. پس از اینکه بهترین متخصص ایمپلنت در تهران پایه تیتانیومی را نصب کرد، باید تاج دندان که یک قطعه مصنوعی است را بر روی آن قرار دهد تا این دندان بتواند از نظر ظاهری و عملکردی مانند سایر دندانها شود.
زمانی که پایه ایمپلنت درون استخوان فک قرار میگیرد، به آن میچسبد و با استخوان ادغام میشود. پس از اینکه فرآیند یکپارچه سازی به خوبی انجام شد، میتوان تاج را نصب نمود و از دندان جدید استفاده کرد. برای اینکه بتوان ایمپلنت را نصب نمود، باید بافت دهان و دندانها از سلامت کلی برخوردار باشند. از این رو پیش از شروع درمان باید وضعیت دهان و دندان شما توسط بهترین دکتر ایمپلنت تهران مورد بررسی قرار بگیرد. دکتر سامان کلانتری یکی از بهترین متخصصان ایمپلنت شهر تهران میباشد که میتواند در این زمینه به شما کمک کند.
کاندیدای مناسب برای ایمپلنت
افرادی که میخواهند توسط بهترین دکتر ایمپلنت در تهران کاشت دندان انجام دهند، معمولا یک یا تعدادی از دندانهای خود را از دست دادهاند. به طور کلی این افراد سلامت دندانی مناسبی ندارند. حتی برخی از آنها به بیماریهای لثه دچار هستند و استخوان و لثه آنها تحلیل رفته است. افرادی که مشکلات دندانیشان پیچیدهتر شده است نیز به جایگزین کردن دندانهای خود نیاز خواهند داشت. بهترین متخصص ایمپلنت در تهران میتواند لبخندی زیبا را برای این افراد به ارمغان بیاورد. همه افراد در هر سنی میتوانند برای انجام این درمان اقدام کنند. مگر اینکه مشکلاتی در سلامت عمومی بدن آنها وجود داشته باشد که مانع دریافت خدمات پزشکی و دندانپزشکی شود.
همه افراد از نوجوانان تا افراد مسن حتی تا ۹۰ سال، در صورتی که از سلامت عمومی بدن برخوردار باشند، میتوانند برای جایگزین کردن دندانهای از دست رفته خود به دکتر سامان کلانتری مراجعه کرده و از انجام این درمان بهره ببرند. حتی در بسیاری از بیمارانی که دچار آتروفی یا تحلیل استخوان فک شده یا به بیماریهای پیشرفته لثه مبتلا شدهاند نیز میتوان از ایمپلنت استفاده کرد. چرا که در اکثر موارد و بر اساس نظر دندانپزشک، این بیماریها محدودیت یا مشکلی برای انجام ایمپلنت به وجود نمیآورند. اما این افراد باید در نظر داشته باشند که پیش از اقدام برای ایمپلنت باید ابتدا برای برطرف کردن آسیبهای به وجود آمده و رفع عفونت اقدام کنند. به همین دلیل دوره درمان ایمپلنت آنها نسبت به سایر افراد طولانیتر خواهد شد.
به طور کلی افرادی که قصد کاشت دندان را دارند، باید شرایط زیر را دارا باشند:
- دارای سلامت کلی بدن، استخوان کافی برای جوش خوردن پایه ایمپلنت و لثهای سالم باشند. بسیاری از افرادی که تراکم کافی استخوان فک ندارند نیز میتوانند برای انجام این درمان اقدام کنند. اما در ابتدا باید از روشهای مختلف برای احیای استخوان فک استفاده نمایند.
- بیمار باید بهداشت دهان، دندان و لثه را رعایت کند و به طور روزانه از خمیر دندان و مسواک استفاده نماید.
- برای کاشت دندان، بیماران باید با متخصص خود همکاری کنند و در زمانهای تعیین شده به ایشان مراجعه نمایند. در این صورت روند درمان بدون مشکل انجام خواهد شد.
بهترین ایمپلنت کار تهران کیست؟
انجام جراحی ایمپلنت با ظاهر زیبا و طبیعی، دوام و ماندگاری زیاد و کیفیت بسیار بالا همگی ارتباط جدایی ناپذیری با تجربه و مهارت متخصص ایمپلنت دارند. برای اینکه جراحی ایمپلنت شما موفقیت آمیز باشد و از نتیجه به دست آمده نهایت رضایت را داشته باشید، باید به دندانپزشکی مراجعه کنید که به صورت تخصصی در زمینه کاشت دندان مشغول فعالیت است. در نتیجه میتوانید از تجربه دندانپزشکی که ایمپلنت را به صورت تخصصی انجام میدهد اطمینان حاصل کنید و کاشت دندان خود را به او بسپارید. در نظر داشته باشید که بهترین فوق تخصص ایمپلنت در تهران درمان ایمپلنت را یک شاخه تخصصی میداند، نه یک درمان قابل ارائه در بین سایر خدمات دندانپزشکی.
در صورتی که به دنبال بهترین ایمپلنت کار تهران هستید، قطعا با نام دکتر سامان کلانتری روبرو خواهید شد. دکتر سامان کلانتری متخصص ایمپلنت و پروتزهای دندانی میباشد. ایشان بیش از ۱۰ سال سابقه در زمینههای مختلف دندانپزشکی دارد و توانسته است از بهترین دانشگاههای تهران فارغالتحصیل شود. از جمله سوابق و افتخارات ایشان میتوان به اخذ بورد تخصصی پروتز، مدرس دورههای ایمپلنت، استاد دانشگاه، عضو انجمن ایمپلنتولوژی ایران و … اشاره کرد. در مرکز تخصصی دکتر سامان کلانتری میتوانید ایمپلنت دندان را در سریعترین زمان ممکن و بدون درد و خونریزی انجام دهید. کلینیک ایشان مجهز به بروزترین تجهیزات دندانپزشکی میباشد و توانسته است بیش از ۵۰۰۰ واحد روکش لمینت، کامپوزیت و ایمپلنت موفق را برای مراجعه کنندگان خود انجام دهد.
بهترین مرکز کاشت دندان در تهران
در تهران مراکز کاشت دندان زیادی وجود دارد که خدمات مختلفی ارائه میدهند. در ادامه مقاله قصد داریم لیست کاملی از بهترین مراکز کاشت دندان در پایتخت را در اختیارتان قرار دهیم.
انتخاب بهترین متخصص ایمپلنت در تهران تاثیر بسزایی در موفقیت درمان خواهد داشت. برای اینکه از نتیجه به دست آمده از درمان رضایت کافی داشته باشید باید به بهترین دکتر ایمپلنت دندان در تهران با ویژگیهای زیر مراجعه کنید:
دارا بودن تخصص آکادمیک در کاشت ایمپلنت
داشتن تخصص در زمینه کاشت ایمپلنت را میتوان اصلیترین ویژگی بهترین دکتر ایمپلنت در سعادت آباد دانست. اگر چه در دانشگاههای کشور برای کاشت ایمپلنت یک رشته تخصصی ارائه نشده است، اما دندانپزشکان بهترین کلینیک ایمپلنت تهران میتوانند دورههای ایمپلنتولوژی مختلفی را پشت سر بگذارند و در این زمینه مهارت کسب کنند. البته باید در نظر داشته باشید که برای تبدیل شدن به بهترین دندانپزشک ایمپلنت در تهران، صرفا داشتن مدرک کافی نیست. بلکه دندانپزشکان باید به صورت مداوم اطلاعات و دانش خود را به روز کنند و از متدهای روز دنیا پیروی نمایند.
داشتن تسلط در کاشت ایمپلنت
دومین ویژگی مهمی که بهترین دکتر ایمپلنت در شرق تهران باید داشته باشد، تسلط کافی بر روی کاشت دندان است. اگر چه تخصص آکادمیک موضوع مهمی است، اما برای داشتن بهترین ایمپلنت دندان در تهران تجربه حرف اول را میزند. به طور کلی متخصصان ایمپلنت باید حداقل ۳ سال سابقه در انجام این کار داشته باشند تا بتوانند به همه نکات تخصصی آن تسلط پیدا کنند و بهترین روش درمانی را برای بیماران انتخاب نمایند.
دقت کافی در بررسی دندانها
بهترین دکتر ایمپلنت فوری در تهران ابتدا وضعیت دهان و دندانهای بیمار را بررسی میکند و در صورتی که سایر روشهای درمانی موثر واقع نشدند برای کاشت دندان اقدام میکند. علاوه بر این در صورتی که به کاشت ایمپلنت نیاز بود باید بتواند بهترین روش جراحی و مناسبترین سایز ایمپلنت را انتخاب کند.
داشتن دستیاران مسلط به جراحی ایمپلنت
یک دندانپزشک حرفهای برای ایمپلنت در تهران بهترین و مجربترین دستیاران را انتخاب میکند؛ چرا که به همکاری آنها در پروسه جراحی نیاز است. تسلط دستیارها و همکاری مناسب آنها با دکتر فوق تخصص ایمپلنت باعث آرامش و تمرکز بیشتر دندانپزشک در حین جراحی و دستیابی به نتیجه ایدهآل میشود.
سطح رضایت بالای مراجعه کنندگان
یکی از ویژگیهایی که بهترین فوق تخصص ایمپلنت در تهران باید داشته باشد، رضایت بالای مراجعه کنندگان از جراحی میباشد. همه متقاضیان پیش از اقدام برای کاشت دندان، ابتدا با مراجعین قبلی دندانپزشک مورد نظر صحبت میکنند و در صورت عدم رضایت آنها به سراغ دندانپزشکان دیگر میروند. بهترین متخصص ایمپلنت تهران باید بتواند رضایت بیماران پیشین خود را جلب کند؛ چرا که مراجعه کنندگان میتوانند بهترین تبلیغ برای یک دندانپزشک باشند.
روابط عمومی بالا
دندانپزشک برای افراد مسن در تهران باید بتواند ارتباط موثری با بیماران خود برقرار کند تا ترس و اضطراب آنها را کاهش دهد. با این کار بیماران نیز در حین انجام ایمپلنت با پزشک همکاری میکنند. بنابراین احترام گذاشتن به بیماران و توجه به آنها و وقتشان جزو اصلیترین ویژگیهای بهترین دکتر ایمپلنت تهران به شمار میروند.
رعایت بهداشت و ایمنی
بهترین دندانپزشک تهران برای ایمپلنت باید پروتکلهای ایمنی و بهداشتی را به خوبی رعایت کند تا از بروز عفونت و بیماری جلوگیری نماید.
پشتیبانی بعد از جراحی
بهترین فوق تخصص پروتز دندان بعد از انجام جراحی ایمپلنت پشتیبانی کاملی به بیماران ارائه میدهد. به عبارت دیگر بهترین متخصص ایمپلنت در تهران نه تنها نکات مراقبتی را به بیمار یادآوری میکند؛ بلکه در صورت بروز هر گونه مشکل اقدامات لازم را انجام میدهد و به درمان او میپردازد.
کاشت دندان در تهران را کجا انجام دهید؟
امروزه همه مردم دوست دارند لبخندی زیبا داشته باشند. دکتر وحید دهقان کاشت دندان در تهران را با مدرنترین امکانات، باکیفیتترین تجهیزات و تیم تخصصی مجرب انجام میدهد تا مراجعه کنندگان از نتیجه به دست آمده اطمینان داشته باشند. بنابراین با خیالی آسوده میتوانید خدمات مورد نیاز خود را به ما بسپارید.
بهترین کاشت دندان در تهران کجاست؟
در بهترین مرکز کاشت دندان در تهران از دندانپزشکان متخصصی کمک گرفته میشود که همه آنها جزو برترین اساتید دانشگاه هستند. دکتر وحید دهقان موفق به تاسیس یک مرکز تخصصی ایمپلنت در شهر تهران شده است که خدمات گوناگونی را از جمله جراحی فک و صورت به بیماران ارائه میدهد. کاشت دندان به عنوان اصلیترین تخصص پزشکان این کلینیک به شمار میرود. دکتر دهقان با بهترین متخصصان همکاری میکند و توانسته است بزرگترین مرکز کاشت دندان تهران را راهاندازی نماید.
کاشت دندان در تهران با کلینیک تخصصی سامان کلانتری
چرا توصیه ما این است که برای کاشت دندان به کلینیک دکتر سامان کلانتری مراجعه کنید؟ دلیل آن نیز این است که در این کلینیک از کادری حرفهای و مجرب استفاده شده است که توانایی منحصر به فردی در زمینه کاشت ایمپلنت دارند.
چرا کاشت دندان به روش ایمپلنت بهترین روش جایگزینی دندان از دست رفته است؟
زمانی که به هر دلیل یک یا تعدادی از دندانهای خود را از دست میدهید، حتما به دنبال بهترین روش برای جایگزین کردن آنها میگردید. در صورتی که از بهترین و مجربترین دندانپزشکان در رابطه با این موضوع سوال کنید متوجه میشوید که بهترین روش برای کاشت دندان، ایمپلنت است. ایمپلنت روشی مطمئن و موثر برای جایگزین کردن دندانهای از دست رفته به شمار میرود. با انجام این روش دندان از دست رفته خود را به صورت دائمی بازیابی خواهید کرد.
قیمت کاشت دندان با چسب
برخی از کلینیکهای فوق تخصصی دندانپزشکی در شهر تهران که خدمات مختلفی در زمینه کاشت دندان ارائه میدهند، انواع پروتز ثابت و متحرک را در اختیار مراجعه کنندگان قرار میدهند. انجام این درمان به چند جلسه متوالی نیاز خواهد داشت و دندانپزشک باید برای قالبگیری اقدام کند. پس از اینکه قالب گیری به شکل دقیق صورت گرفت، کاشت دندان با چسب انجام میشود.
ویژگیهای مرکز تخصصی کاشت دندان تهران
زمانی که برای کاشت دندان تصمیم جدی میگیرید، حتما این سوال به ذهنتان خطور میکند که یک کلینیک تخصصی ایمپلنت باید چه ویژگیهایی داشته باشد؟ صدها مرکز فعال در سراسر شهر تهران مشغول فعالیت هستند، چگونه میتوان از بین آنها بهترین کلینیک را انتخاب کرد؟ بزرگترین کلینیک کاشت دندان تهران باید شامل ویژگیهای زیر باشد:
تجربه و تخصص پزشک
خدمات دندانپزشکی به خصوص کاشت دندان از حساسیت زیادی برخوردار هستند. زمانی که قصد مراجعه به یک مرکز ایمپلنت را دارید اولین نکتهای که باید به آن توجه کنید، میزان تخصص و تجربه دندانپزشک است. از آنجایی که هزینه خدمات دندانی به خصوص ایمپلنت بسیار بالا میباشد برای انجام آنها باید به یک دندانپزشک متخصص و مجرب مراجعه کنید تا از نظر اقتصادی به صرفه بوده و در آینده هزینه اضافی برایتان به همراه نداشته باشد. علاوه بر این باید در نظر داشته باشید که فرآیند کاشت دندان در مقایسه با سایر خدمات دندانپزشکی از سختی و پیچیدگی بیشتری برخوردار است و همه دندانپزشکان نمیتوانند آن را انجام دهند. بسیاری از بیماران پس از دریافت ایمپلنت از کیفیت و نتیجه کار ناراضی هستند؛ به همین دلیل انتخاب یک پزشک باتجربه و ماهر اهمیت زیادی دارد.
تجهیزات پزشکی
یکی دیگر از مهمترین فاکتورهایی که در زمان انتخاب بهترین مرکز کاشت دندان در تهران باید مورد توجه قرار دهید، تجهیزات پزشکی هستند. بدون وجود تجهیزات حرفهای و مدرن حتی نمیتوان کوچکترین فرآیندی مانند کشیدن دندان را انجام داد. از آنجایی که ایمپلنت به جراحیهای مختلف نیاز دارد برای انجام آن باید به کلینیکهایی که دارای تجهیزات حرفهای هستند مراجعه کنید. البته باید در نظر داشته باشید که کیفیت تجهیزات نیز میتواند بر روی نتیجه درمان تاثیر چشمگیری داشته باشد. حتی اگر سادهترین تجهیزات مثل بیحس کننده نیز از کیفیت بالایی برخوردار نباشند، بیمار در حین درمان درد زیادی را متحمل خواهد شد. در صورتی که تجهیزات کاشت دندان کیفیت بالایی نداشته باشند، متخصص نمیتواند مهارت خود را نشان دهد. در این صورت بیمار به نتیجه دلخواه دست نمییابد و بعد از گذشت زمان کوتاهی باید برای ترمیم اقدام کند.
رعایت بهداشت و نظافت
اگر چه رعایت بهداشت و نظافت برای همه افراد الزامی است، اما اهمیت آن در مراکز کاشت دندان بسیار بیشتر خواهد بود. شما باید به مرکز یا کلینیکی مراجعه نمایید که بر روی این مسئله تاکید زیادی دارد؛ چون دهان و دندان به عنوان آسیب پذیرترین و حساسترین قسمتهای بدن به شمار میروند و میتوانند باعث ورود میکروبها، باکتریها و بیماریهای گوناگون به داخل بدن شوند.
پرسنل مجرب
همه کلینیکهای دندانپزشکی موظفند از پرسنل کارآزموده و باتجربه استفاده کنند. زمانی که بیمار برای کاشت دندان اقدام میکند تنها با یک دندانپزشک سر و کار ندارد؛ بلکه افرادی مانند مسئول لابراتوار، رادیولوژیست، منشی، دستیار دندانپزشک و … باید با این فرد در ارتباط باشند. اگر حتی یکی از این افراد وظیفه خود را به بهترین شکل انجام ندهد، در روند درمان اختلال ایجاد میکند. برای مثال ارتباط موثر با منشی به خصوص برای افرادی که شرایط خاصی دارند اهمیت زیادی خواهد داشت. کلینیکهای تخصصی کاشت دندان باید از پرسنل حرفهای استفاده کنند و آموزشهای لازم را در اختیار آنها قرار دهند.
استفاده از باکیفیتترین مواد
برای خدمات مختلف دندانپزشکی از جمله ایمپلنت از مواد و برندهای گوناگونی استفاده میشود که کیفیت آنها با هم متفاوت است. قیمت آنها نیز بر اساس کیفیتشان تعیین میشود. متاسفانه امروزه تعدادی از کلینیکهای کاشت دندان از مواد بیکیفیت و برندهای نامعتبر استفاده میکنند و با تبلیغات گسترده، مراجعه کنندگان زیادی جذب کردهاند. برخی دیگر از کلینیکها نیز با استفاده از متریال بیکیفیت موفق به کسب سود زیاد شدهاند. بنابراین برای کاشت دندان به مراکز معتبر مراجعه کنید تا درگیر هزینههای اضافی نشوید.
مهم ترین نکات مراجعه به بهترین دکتر ایمپلنت در تهران
پیش از اینکه به بهترین متخصص ایمپلنت در تهران مراجعه کنید و برای کاشت دندان اقدام نمایید، باید با برخی نکات آشنا باشید تا ابهاماتی که در این زمینه دارید برطرف شوند.
انتخاب نوع ایمپلنت
ممکن است یک متخصص ایمپلنت در تهران به شما بگوید که به دلیل تحریم، ایمپلنتهای آمریکایی و سوئیسی در ایران موجود نیستند؛ به همین دلیل مجبور به استفاده از ایمپلنتهای کرهای خواهید بود. در حالی که این جمله کاملا غلط میباشد و در سالهای اخیر انواع ایمپلنت از کشورهای مختلف وارد ایران شده است. علاوه بر این روابط ایران با سوئیس از کره بهتر میباشد و بسیاری از کالاهای پزشکی موجود در کشور متعلق به کشورهای چین و سوئیس هستند. بنابراین به بهترین متخصص ایمپلنت تهران مراجعه کنید تا از برندهای معتبر ایمپلنت استفاده کند.
کشیدن همه دندانها برای انجام ایمپلنت
ممکن است پیش از اقدام برای کاشت دندان به این فکر کنید که بهتر است همه دندانهای خود را بکشید و هر دو فک خود را به صورت کامل ایمپلنت کنید. این مسئله در بلند مدت میتواند مشکلات زیادی را برای شما به همراه داشته باشد. حتی اگر از بهترین ایمپلنت دنیا هم استفاده کنید باز هم کیفیت ریشه دندان طبیعی بسیار بیشتر است؛ چرا که این دندانها دارای غشای خاص بین استخوان و ریشه هستند و میتوانند فشار فکی را احساس کنند، در حالی که ایمپلنت قادر به احساس فشار فکی نخواهد بود. علاوه بر این طول عمر ریشه دندان نیز از ایمپلنت بیشتر است. متاسفانه امروزه بسیاری از دندانپزشکان اصرار دارند که مراجعه کنندگان همه دندانهای خود را بکشند و آنها را ایمپلنت کنند. این کار برای دندانپزشک ضرری ندارد و حتی طرح درمان را راحتتر خواهد کرد، اما ضرر نهایی را شما متحمل میشوید. بنابراین تاکید ما این است که به بهترین دکتر ایمپلنت در شرق تهران مراجعه کنید تا درمان شما را با نهایت دلسوزی انجام دهد.
تشخیص نوع ایمپلنت
ممکن است فراموش کرده باشید که دندانپزشکتان از چه مدل ایمپلنتی برای شما استفاده کرده است. هر یک از ایمپلنتها دارای شکل خاصی هستند و با عکس رادیوگرافی میتوانید نوع آنها را تشخیص دهید.
اهمیت نوع ایمپلنت
برخی از افراد بر این باورند که تنها تخصص بهترین دندانپزشک تهران برای ایمپلنت اهمیت دارد و نوع ایمپلنت مهم نیست؛ چرا که همه آنها از جنس تیتانیوم تولید میشوند. این طرز فکر هم اشتباه است؛ چرا که ایمپلنتها فقط از تیتانیوم تولید نمیشوند، بلکه آلیاژی از تیتانیوم هستند. به عبارت دیگر در ساخت آنها از ترکیب چند فلز با هم استفاده میشود که این ترکیب حالتهای مختلفی دارد. علاوه بر این شکل هندسی ایمپلنتها نیز با هم تفاوت دارد. در ساخت ایمپلنتهای باکیفیت از تکنیکهای ویژهای استفاده میشود و به گونهای آماده میشوند که راحتتر به سلولهای استخوانی متصل شوند و عاری از هر گونه آلودگی باشند. بنابراین در صورتی که از این ایمپلنتها استفاده شود، احتمال تحلیل استخوان کاهش مییابد. علاوه بر این پیچی که با استفاده از آن اباتمنت به فیکسچر وصل میشود نیز اهمیت زیادی دارد و باید از برندهای مطرح استفاده کرد تا دچار شکستگی نشود. مهارت و کار بهترین دکتر ایمپلنت دندان در تهران هم حائز اهمیت است، اما طول عمر و کیفیت ایمپلنت را نوع و برند آن تعیین میکنند.
تهیه ایمپلنت
شاید به این فکر کنید که بهتر است خودتان ایمپلنت را تهیه کنید و تنها برای جایگذاری آن از دندانپزشک کمک بگیرید. در فرآیند جایگذاری ایمپلنت از یک کیت که دارای ابزارهای مختلف و قطعاتی مانند ایمپرشن، اباتمنت، آنالوگ و … است استفاده میشود که همه آنها باید مطابق با مدل و برند ایمپلنت باشند. علاوه بر این ایمپلنتها دارای سایزهای مختلفی هستند که انتخاب بهترین سایز بر اساس استخوان بیمار انجام میشود. بنابراین کلینیکی که قصد کاشت دندان در آن را دارید باید دارای قطعات و کیت برند مورد نظر بوده و سایزهای مختلف آن را داشته باشد. در نتیجه نمیتوانید به صورت خودسرانه برای تهیه ایمپلنت اقدام کنید.
ترس از ایمپلنت
اکثر افراد به دلیل ترس از ایمپلنت برای انجام آن اقدام نمیکنند. در حالی که این ترس به دلیل عدم آموزش صحیح ایجاد شده است. در نظر داشته باشید که عدم پر کردن فضای خالی دندان میتواند شما را با مشکلات ظاهری، سلامتی، دندانی و گوارشی روبرو کند. حتی اگر فرض را بر این بگیریم که کاشت ایمپلنت دردناک است، عدم انجام آن شما را با مشکلات دردناکتری روبرو خواهد کرد. برای مثال فضای خالی بین دندانها باعث افزایش گیر غذایی، پوسیدگی دیگر دندانها و کج شدن آنها میشود. در نتیجه باید برای کشیدن و درمان ریشه سایر دندانها اقدام کنید که این مورد دشوارتر از جایگذاری ایمپلنت است. در صورتی که به بهترین دندانپزشک ایمپلنت در تهران یعنی دکتر سامان کلانتری مراجعه کنید، در حین درمان هیچ دردی احساس نخواهید کرد.
ضمانت ایمپلنت
ممکن است شما نیز در زمان اقدام برای کاشت ایمپلنت با مراکزی روبرو شوید که ایمپلنت خود را برای زمان طولانی ضمانت میکنند و فکر کنید که مراجعه به این کلینیکها به صلاح شما میباشد. ضمانت خدمات یکی از روشهای جذب مراجعه کننده است و نشان دهنده ایدهآل بودن درمان نخواهد بود. در نظر داشته باشید که بهترین متخصص ایمپلنت دندان در تهران خدمات درمانی خود را برای بلند مدت تضمین نمیکند؛ چرا که هیچ قطعیتی در این کار وجود ندارد. در صورتی که بیمار بهداشت دهان و دندان خود را رعایت نکند یا در آینده دچار مشکلاتی مانند پوکی استخوان یا دیابت کنترل نشده شود، طول عمر ایمپلنت کاهش مییابد. به همین دلیل ضمانت بلند مدت برای این درمان منطقی به نظر نمیرسد. همواره به یاد داشته باشید که ضمانت نمیتواند دوام و ماندگاری ایمپلنت شما را افزایش دهد؛ بلکه این مورد با انتخاب دندانپزشک مناسب و رعایت بهداشت دهان و دندان افزایش مییابد.
نمونه کارهای دندانپزشک
اگر شما نیز جزو افرادی هستید که فکر میکنید بهترین دکتر ایمپلنت در تهران دارای نمونه کارهای زیاد است، باید بگوییم که سخت در اشتباهید. اگر چه قرار دادن نمونه کار برای متخصصان ایمپلنت الزامی است؛ اما هر دندانپزشکی که نمونه کارهای زیادی دارد صرفا دندانپزشک بهتری نیست. تبلیغات دهان به دهان مراجعه کنندگان قبلی به عنوان بهترین روش تبلیغاتی برای دندانپزشکان به شمار میروند. البته دکتر سامان کلانتری دارای نمونه کارهای زیادی است که میتوانید با مراجعه به پیج ایشان آنها را مشاهده کنید تا از انتخاب خود اطمینان حاصل نمایید. ایشان از بهترین مواد و برندها برای کاشت دندان استفاده میکند و همه مراجعین از نتیجه به دست آمده نهایت رضایت را دارند.
اهمیت مراجعه به بهترین دکتر ایمپلنت در تهران
در زمان انتخاب متخصص ایمپلنت در تهران حتما این سوال به ذهنتان خطور میکند که مراجعه به بهترین دکتر ایمپلنت تا چه اندازه اهمیت دارد؟ در صورت مراجعه به دندانپزشکان کم تجربه با چه مشکلاتی روبرو خواهیم شد؟ در صورتی که به متخصصان ایمپلنت با کیفیت و تجربه پایین مراجعه کنید مشکلات جدی و طولانی مدتی در انتظار شما هستند. این مشکلات نه تنها سلامتی دهان و دندان را به خطر میاندازند؛ بلکه شما را متحمل هزینههای بیشتر خواهند کرد. در ادامه به مشکلات احتمالی که با مراجعه به متخصصان کم تجربه به وجود میآیند اشاره میکنیم:
شکست ایمپلنت یا ایمپلنت ناموفق
در صورتی که به بهترین دندانپزشک تهران برای ایمپلنت مراجعه نکنید با مشکل جدی شکست یا عدم موفقیت ایمپلنت روبرو میشوید. در این شرایط ایمپلنت به خوبی با استخوان فک ادغام نمیشود. این مشکل ناشی از تکنیک نادرست جراحی، به کارگیری مواد بیکیفیت و موقعیت اشتباه ایمپلنت میباشد که عدم موفقیت جراحی ایمپلنت را به همراه خواهد داشت.
عفونتهای دهانی
عفونتهای دهانی یکی دیگر از مشکلاتی هستند که عدم مراجعه به بهترین متخصص ایمپلنت در تهران برای شما ایجاد میکند. اگر دندانپزشک در طول جراحی اصول بهداشتی را رعایت نکند یا از تجهیزات و لوازم غیر استاندارد استفاده کند، احتمال بروز عفونت در استخوان و لثه افزایش خواهد یافت. این عفونتها با احساس درد همراه هستند و منجر به شکست ایمپلنت میشوند. در نهایت بیمار به جراحی مجدد احتیاج پیدا میکند.
آسیب به اعصاب و بافتها
پزشکان کم تجربه با آناتومی دهان آشنایی کامل ندارند؛ به همین دلیل ممکن است به اعصاب و بافتهای نرم آسیب وارد کنند. این صدمات با از دست دادن حس در قسمتی از دهان، بیحسی دائمی و درد مزمن همراه خواهند بود. برای جلوگیری از بروز این آسیبها باید با تحقیقات کامل به بهترین متخصص ایمپلنت تهران مراجعه کنید.
مشکلات زیبایی
از دیگر پیامدهایی که عدم مراجعه به بهترین دندانپزشک ایمپلنت در تهران به همراه دارد، بروز مشکلات زیبایی است. قرارگیری نادرست ایمپلنت یا طراحی نادرست تاج باعث میشوند که دندانهای کاشته شده ظاهری غیرطبیعی داشته باشند و با سایر دندانها هماهنگ نشوند.
شکست لثه یا استخوان
ممکن است شکست لثه یا استخوان نیز در صورت مراجعه نکردن به بهترین متخصص ایمپلنت دندان در تهران رخ دهد. در صورتی که از ابزارهای جراحی نادرست استفاده شده یا فشار زیادی به ایمپلنت وارد شود، احتمال تحلیل لثه یا صدمه دیدن استخوان افزایش مییابد. این مشکل منجر به نمایان شدن سطح ایمپلنت شده و آن را با شکست روبرو خواهد کرد.
شل یا لق شدن ایمپلنت
یکی دیگر از رایجترین مشکلاتی که در کار دندانپزشکان کم تجربه مشاهده میشود، لق یا شل شدن ایمپلنت است. استفاده از مواد نامرغوب یا قرار دادن ایمپلنت در زاویه اشتباه باعث میشود که ایمپلنت به خوبی در استخوان فک محکم نشود. برای رفع این مشکل به جراحی مجدد نیاز است.
عدم عملکرد صحیح دندانها در هنگام جویدن
علاوه بر موارد ذکر شده، عدم مراجعه به بهترین دکتر ایمپلنت دندان در تهران میتواند در فرآیند جویدن شما نیز مشکلاتی ایجاد کند. در صورتی که ایمپلنت در جای اشتباه قرار گرفته باشد، نیروی جویدن به درستی توزیع نمیشود. این مشکل منجر به ناراحتی، درد، آسیب به استخوان فک و دندانهای مجاور و حتی ایجاد مشکلات گوارشی خواهد شد.
ایجاد حساسیت یا درد دائمی
برخی از بیماران بعد از کاشت دندان نادرست دچار درد یا حساسیت دائمی میشوند. این درد به دلیل آسیب به اعصاب یا موقعیت اشتباه ایمپلنت ایجاد میشود و میتواند کیفیت زندگی فرد را کاهش دهد.
صرف هزینه بیشتر برای درمان مجدد
پیامد ناگوار دیگری که عدم مراجعه به مجربترین دندانپزشک ایمپلنت تهران به همراه دارد، تحمیل هزینههای اضافی برای درمان مجدد است. اصلاح مشکلات ناشی از کار نادرست دندانپزشک، پرهزینهتر و پیچیدهتر از انجام ایمپلنت اولیه خواهد بود. درمانهایی مثل جراحی مجدد یا بازسازی استخوان به صرف زمان و هزینه بیشتری نیاز دارند.
کاهش اعتماد به نفس
به طور کلی همه این مشکلات میتوانند کاهش اعتماد به نفس بیمار را به همراه داشته باشند. زمانی که عملکرد دندانها دچار نقص شود یا ظاهر آنها غیرطبیعی به نظر برسد، فرد از صحبت کردن یا لبخند زدن در جمع خودداری میکند و این مسئله تاثیر منفی بر روابط شغلی و اجتماعی او خواهد داشت.
در نهایت برای اینکه از این مشکلات در امان بمانید، باید به یک متخصص ایمپلنت باتجربه و حرفهای مانند دکتر سامان کلانتری که دارای گواهینامه و مدارک معتبر است مراجعه کنید. علاوه بر این:
- سوابق دندانپزشک مورد نظرتان را بررسی کنید.
- از استفاده از مواد و متریال مرغوب و باکیفیت اطمینان حاصل نمایید.
- نظرات مراجعین قبلی را بررسی کنید.
- نمونه کارهای دندانپزشک را مشاهده نمایید.
تاثیر مراجعه به بهترین متخصص ایمپلنت در تهران در موفقیت آمیز بودن درمان
ایمپلنتولوژیست نقش بسزایی در موفقیت کاشت دندان دارد. تخصص و تجربه آنها به صورت مستقیم بر روی نتیجه عمل تاثیرگذار است. تاثیر مراجعه به بهترین متخصص ایمپلنت دندان در تهران در موفقیت آمیز بودن دندان به صورت زیر خواهد بود:
ارزیابی و برنامه ریزی
زمانی که دندانپزشک سلامت دهان و دندان بیمار را به صورت کامل ارزیابی کند و متوجه مواردی مثل سلامت لثه و تراکم استخوان شود، برنامه ریزی درمانی را بهتر میتواند انجام دهد. در صورتی که جراح از تکنیکهای تصویربرداری پیشرفته استفاده نماید میتواند ایمپلنت را دقیقتر جایگذاری کند.
مهارت جراحی
در صورتی که به بهترین دندانپزشک ایمپلنت در تهران مراجعه کنید میتوانید از مهارت جراحی او مطمئن باشید. در نتیجه اطمینان حاصل میکنید که ایمپلنت در جای درست قرار داده شده و بافتهای اطراف آن دچار آسیب نشدهاند.
مراقبتهای بعد از عمل
مراقبتهای پس از عمل از اهمیت زیادی برخوردار هستند و باید به صورت دقیق رعایت شوند. راهنمایی در رابطه با مراقبتها و نظارت دندانپزشک بر روند بهبودی، از ایجاد عوارض جلوگیری خواهد کرد.
آموزش مداوم
بهترین متخصص ایمپلنت تهران به صورت مداوم آموزش میبیند تا خود را با آخرین پیشرفتها در تکنیکها و فناوریها همگام کند و موفقیت درمان را افزایش دهد.
علاوه بر این وجود تجهیزات پیشرفته باعث میشوند که موفقیت آمیز بودن درمان تضمین شود. تجهیزاتی که بهترین دندانپزشک ایمپلنت تهران باید در مطب یا کلینیک خود داشته باشد عبارتند از:
دستگاه عکسبرداری با اشعه ایکس
اگر چه گرفتن عکس اشعه X از دندانها تنها چند ثانیه طول میکشد، اما وجود این دستگاه جراحی را قابل اعتمادتر و سریعتر خواهد کرد.
سیستمهای کت اسکن
این فناوری به دندانپزشک اجازه میدهد که تصویری سه بعدی از استخوان فک داشته باشد تا یک برنامه درمانی مناسب برای بیمار فراهم کند.
دستگاه سانتریفیوژ جهت تولید پلاسمای غنی از پلاکت
در صورتی که بعد از پایان جراحی فک و قرار دادن پایه فلزی، پلاکت خون تزریق شود، استخوان فک روند بهبودی را سریعتر طی میکند و برای مراحل بعدی کاشت یعنی نصب روکش آماده خواهد شد.
دستگاه تخلیص فاکتورهای رشد
تزریق فاکتور رشد به بیمار باعث میشود که روند بهبودی پس از جراحی تسریع یابد.
مزایای کاشت دندان توسط بهترین دکتر ایمپلنت در تهران
در صورتی که ایمپلنت را توسط بهترین دندانپزشک ایمپلنت در تهران انجام دهید، میتوانید از مزایای بیشمار آن بهرهمند شوید. ایمپلنت به دلیل دارا بودن مزایای زیر، در مقایسه با بریج دندانی، دندان مصنوعی و پروتز متحرک طرفداران بیشتری پیدا کرده است:
محافظت از استخوان
زمانی که دندانهای خود را از دست میدهید، احتمال از بین رفتن توده استخوانی فک افزایش مییابد. تنها زمانی حجم استخوان فک دچار کاهش نمیشود که این ناحیه با وجود دندان یا اتصال پایه ایمپلنت، تحریک شود. ایمپلنت به عنوان بهترین و منطقیترین گزینه برای جایگزینی دندانها به شمار میرود و مهمترین مزیت آن، این است که از تحلیل استخوان فک جلوگیری میکند.
جلوگیری از پوسیدگی سایر دندانها
زمانی که یک دندان از دست میرود، دندانهای اطراف آن دچار مشکل میشوند؛ چرا که تکیه گاه خود را از دست دادهاند. به همین دلیل امکان کج شدن دندانها و ایجاد فاصله بین آنها وجود دارد. حتی در برخی موارد، دندانها لق خواهند شد.
فضای خالی دندان، محل مناسبی را برای رشد باکتری و پلاک فراهم میکند. در این شرایط دندانهای اطراف دندان از دست رفته، در معرض پوسیدگی قرار میگیرند. به همین دلیل بهترین متخصص ایمپلنت در تهران، توصیه میکند هر چه سریعتر برای انجام ایمپلنت اقدام کنید.
مشابه دندان طبیعی
ایمپلنتها در اندازهها و اشکال مختلف وجود دارند. بهترین فوق تخصص ایمپلنت در تهران، روکش را بر اساس شرایط و نظر شما انتخاب میکند. ایمپلنت شباهت زیادی به دندانهای طبیعی دارد و همرنگ آنها انتخاب میشود؛ به همین دلیل فقط دندانپزشکان میتوانند تشخیص دهند که این دندان طبیعی نیست.
بهبود تکلم
از دست دادن دندان میتواند تاثیر منفی بر روی نحوه صحبت کردن بگذارد. حتی بسیاری از افرادی که از پروتزهای مصنوعی متحرک نیز استفاده میکنند، از تاثیر منفی آنها بر روی تکلم شکایت دارند. در این شرایط، ایمپلنت به دلیل حفظ قدرت تکلم و جلوگیری از ایجاد مشکل در صحبت کردن، به عنوان گزینهای منحصر به فرد شناخته میشود.
بهبود تغذیه و جویدن
یکی دیگر از مزایای ایمپلنت، بهبود جویدن و غذا خوردن است. از دست رفتن دندانها، شما را با مشکل در جویدن روبرو خواهد کرد. بدون شک، این مشکل باعث میشود نتوانید از غذاهای مورد علاقه خود لذت ببرید و یک رژیم غذایی متعادل داشته باشید. بنابراین برای پیشگیری از بروز این عارضه و عدم پرهیز از مصرف غذاهای مورد علاقهتان، باید به بهترین متخصص ایمپلنت دندان در تهران مراجعه کنید تا درمان را سریعتر شروع کند.
فراموش نکنید که ممکن است به دلیل از دست رفتن دندانها و عدم مصرف مواد غذایی مختلف، مواد مغذی مورد نیاز بدن به آن نرسند و با مشکلات سلامتی روبرو شوید. برای مثال، در صورتی که مواد مغذی و ویتامینهای مورد نیاز برای پشتیبانی استخوان به بدن نرسند، فک شما با مشکل مواجه خواهد شد.
حفظ سلامتی دندان ها
یکی دیگر از مهمترین مزایای ایمپلنت این است که برخلاف سایر روشهای جایگزینی دندان، باعث محافظت از دندانهای اطراف خواهد شد. در روشی مانند بریج، دندانهای مجاور باید تراشیده شوند که این کار منجر به کاهش ساختار دندانهای سالم میشود. ایمپلنت به هیچ عنوان به دندانهای مجاور صدمه نمیزند و ساختار طبیعی آنها را حفظ خواهد کرد. به عبارت دیگر، در این روش مینای دندانهای اطراف حفظ شده و فضای خالی دندان از دست رفته نیز پر میشود.
عملکردی مشابه دندان های طبیعی
ایمپلنت نه تنها از نظر ظاهری، بلکه از نظر عملکردی نیز مانند دندانهای طبیعی است و مقاومت و استحکام زیادی دارد. در این روش، پایه ایمپلنت عملکردی مانند ریشه طبیعی دندان دارد که درون استخوان فک قرار گرفته و به همان اندازه محکم است.
داشتن لبخندی زیبا
بسیاری از بیماران پس از دریافت ایمپلنت، اعتماد به نفس بیشتری برای لبخند زدن پیدا میکنند. در حالی که پیش از آن، از لبخند زدن یا خندیدن امتناع میکردند و نسبت به دندانها و لبخند خود احساس ناخوشایندی داشتند. پس از کاشت دندان توسط بهترین دکتر ایمپلنت در ایران میتوانید احساس رضایت کاملی از لبخند خود داشته باشید.
حفظ زیبایی و ساختار صورت
از دست رفتن دندانها منجر به تحلیل استخوان فک میشود و تاثیر منفی بر روی ساختار صورت گذاشته و آن را پیر و بدفرم نشان میدهد. در حالی که با قرار دادن پایه ایمپلنت، استخوان فک حفظ شده و ساختار و آناتومی طبیعی صورت مانند قبل باقی میماند. در نتیجه از گود رفتگی گونه و تحلیل فک جلوگیری خواهد شد.
مراقبت آسان
مراقبت از ایمپلنت بسیار راحت و مشابه مراقبت از دندانهای طبیعی است. در واقع مراقبتهای این روش شامل نخ دندان کشیدن، مسواک زدن، معاینات منظم و… هستند. بهترین دکتر ایمپلنت دندان در تهران، دستورالعملهای لازم را در اختیار شما قرار میدهد. با رعایت این مراقبتها میتوانید از بروز مشکلاتی مانند جرم، عفونت و بیماریهای لثه پیشگیری کنید. بسیاری از افراد فکر میکنند که ایمپلنتها نیازی به مراقبت و تمیز کردن ندارند؛ در حالیکه این طرز فکر کاملا غلط است و باید تمام تلاش خود را برای حفظ سلامت دندانهای طبیعی و ایمپلنتها به کار بگیرید.
برای اینکه بهترین نتیجه را از کاشت دندان کسب کنید، بهتر است نگاهی به لیست ۱۰ تایی بهترین متخصص ایمپلنت دندان بیندازید و به این دندانپزشکان مراجعه کنید.
خدمات تخصصی بهترین متخصص ایمپلنت در تهران
خدمات تخصصی بهترین فوق تخصص ایمپلنت در تهران فراتر از قرار دادن ایمپلنت در دهان هستند. بهترین دکتر ایمپلنت در تهران باید در زمینههای مختلف تخصص و تبحر داشته باشد تا بتواند بهترین خدمات را به مراجعه کنندگان ارائه دهد. این خدمات تخصصی شامل موارد زیر هستند:
خدمات ترمیمی
اگر نگاهی به لیست ۱۰ تایی بهترین متخصص ایمپلنت دندان بیندازید متوجه میشوید که همه این دندانپزشکان خدمات ترمیمی مختلفی مانند درمان ریشه، عصب کشی و پر کردن دندانهای پوسیده ارائه میدهد.
خدمات زیبایی
خدمات زیبایی ارائه شده توسط بهترین متخصص ایمپلنت تهران شامل اصلاح طرح لبخند، لمینت، کامپوزیت و سفید کردن دندانها هستند. بهترین متخصصان، کاشت دندان را با اصول زیبایی شناسی ترکیب میکنند تا بتوانند دندانهایی زیبا و لبخندی طبیعی برای فرد ایجاد کنند.
خدمات پیشگیرانه
خدمات پیشگیرانه که توسط ایمپلنتولوژیستها ارائه میشوند شامل فلورایدتراپی، جرم گیری و آموزش رعایت بهداشت دهان و دندان هستند.
ارتودنسی
شما میتوانید برای مرتب کردن دندانهای خود با کمک اینویزیلاین یا براکت، به دکتر فوق تخصص ایمپلنت در تهران مراجعه کنید.
جراحی لثه
جراحی لثه و درمان بیماریهای مربوط به این ناحیه نیز توسط این دندانپزشکان انجام خواهد شد.
کشیدن دندان
بسیاری از متخصصان ایمپلنت، در زمینه کشیدن دندان تبحر دارند.
پروتزهای دندانی
برای دریافت پروتز متحرک یا دندان مصنوعی نیز میتوانید به یک متخصص ایمپلنت در تهران مراجعه کنید.
بازسازی استخوان فک
متخصصان کاشت دندان میتوانند تکنیکهای پیشرفته بازسازی استخوان فک از جمله سینوس لیفت و پیوند استخوان را برای افرادی که تراکم استخوانی آنها پایین است، انجام دهند.
تکنیکهای بهروز کاشت ایمپلنت
بهترین متخصص ایمپلنت دندان در تهران از تکنیکها و روشهای بهروز کاشت دندان مانند ایمپلنت فوری و ایمپلنت دیجیتال که منجر به افزایش دقت و کاهش زمان درمان میشوند، استفاده میکند.
مراحل انجام ایمپلنت توسط بهترین دکتر ایمپلنت در تهران
داشتن آگاهی نسبت به مراحل ایمپلنت، نگرانیهای موجود در رابطه با انجام و نتایج آن را به میزان زیادی کاهش میدهد. به طور کلی مراحل انجام ایمپلنت توسط بهترین دکتر ایمپلنت دندان در تهران عبارتند از:
یافتن بهترین دندانپزشک تهران برای ایمپلنت
اولین مرحله از کاشت دندان، پیدا کردن بهترین کلینیک و متخصص است. از آنجایی که دندان به عنوان یکی از مهمترین اعضای بدن شناخته میشود و به طور مرتب در حال استفاده از آن هستیم، باید درمانهای مربوط به آن توسط بهترین متخصصان انجام شوند. در کلینیک تخصصی دکتر سامان کلانتری، تمامی مراحل ایمپلنت با بالاترین کیفیت و مناسبترین قیمت انجام خواهند شد.
مشاوره و ارزیابی اولیه
در مرحله بعدی، باید یک جلسه مشاوره با بهترین فوق تخصص ایمپلنت در تهران داشته باشید تا شرایط فعلی و سوابق پزشکی شما ارزیابی شوند. علاوه بر این، پزشک از روشهای تصویربرداری برای بررسی بهتر وضعیت دهان و دندانتان استفاده میکند. اینکه چند دندان و کدام دندانهای شما به کاشت و جایگزینی نیاز دارند، مسئله مهمی است که باید در این مرحله به آن پرداخت؛ زیرا مراحل انجام ایمپلنت برای دندانهای مختلف، تفاوت کمی دارد.
کشیدن دندان یا پیوند استخوان
گاهی اوقات بیمار به درمانهای دیگری مانند کشیدن دندان، جراحی سینوس لیفت یا پیوند استخوان نیز احتیاج پیدا میکند. در صورتی که شرایط فرد مناسب باشد، میتوان کشیدن دندان را همزمان با جراحی انجام داد و سایر مراحل پس از کشیدن انجام شوند. البته اگر به درمانهای پیچیدهای مانند پیوند استخوان نیاز باشد، بیمار باید یک دوره ۲ تا ۶ ماهه را برای ریکاوری و بهبودی طی کند و سپس برای انجام سایر مراحل اقدام نماید.
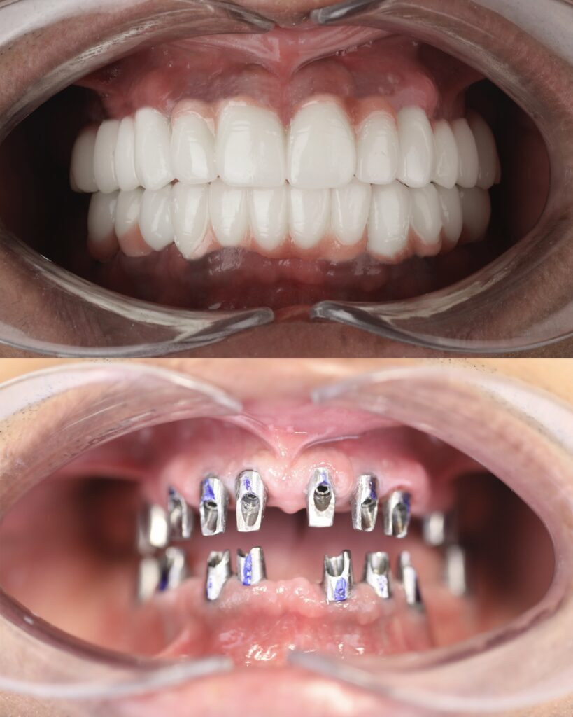
جراحی و کاشت ایمپلنت دندان
جراحی و کاشت ایمپلنت دندان یکی از حساسترین و مهمترین مراحل ایمپلنت به شمار میرود. در این مرحله، متخصص ایمپلنت در تهران ابتدا محل قرارگیری پایه را مشخص و بیحس میکند. سپس یک برش کوچک بر روی لثه ایجاد میکند تا به استخوان دسترسی پیدا نماید. در نهایت نیز پایه ایمپلنت را درون لثه فیکس میکند. برای ادغام شدن پایه و استخوان فک به زمانی در حدود ۳ تا ۹ ماه نیاز است.
بسیاری از مراجعه کنندگان معتقدند که قرار دادن پایه، سختترین مرحله ایمپلنت است. اگرچه ممکن است در این مرحله کمی ناراحتی، تورم یا درد را تجربه کنید، اما با رعایت دستورالعملهای پزشک هر مشکلی را میتوانید به حداقل برسانید. برای کاهش ناراحتی و خونریزی باید داروهای تجویز شده را به موقع مصرف کنید و از غذاهای نرم استفاده نمایید. به طور کلی جراحی ایمپلنت با درد همراه است که با استفاده از مسکن و آنتی بیوتیک میتوانید بدون هیچ مشکلی این عوارض را پشت سر بگذارید.
قرارگیری اباتمنت بعد از بهبودی
هنگامی که پایه ایمپلنت و استخوان فک به طور کامل با هم جوش خوردند و دوران نقاهت به خوبی طی شد، زمان قرار دادن اباتمنت و روکش موقت فرا میرسد. اباتمنت یکی از قطعات ایمپلنت است که باعث اتصال روکش به پایه ایمپلنت میشود. بهترین دکتر فوق تخصص ایمپلنت در تهران، از بیحسی موضعی برای قرار دادن اباتمنت بر روی ایمپلنت استفاده میکند. بر اساس شرایط بیمار، میتوان در همین مرحله روکش را نیز قرار داد.
قالب گیری و نصب روکش دائمی
در این مرحله، ایمپلنتولوژیست از دندانها قالبگیری میکند تا یک روکش دائمی مطابق با ظاهر و سایز سایر دندانها ساخته شود. آماده شدن تاج دائمی حدود ۴ تا ۶ هفته زمان میبرد که در این زمان، دندانپزشک از یک روکش موقت برای بیمار استفاده خواهد کرد. فراموش نکنید که روکش دائمی مانند دندانهای طبیعی است و باید رعایت بهداشت دهان و دندان و مراقبتهای لازم بعد از نصب مثل نخ دندان و مسواک زدن را به خوبی انجام دهید.
مراحل قالب گیری ایمپلنت توسط بهترین متخصص ایمپلنت تهران
همانطور که گفته شد، یکی از مراحل ایمپلنت قالب گیری است. قالب گیری را میتوان به دو صورت باز و بسته انجام داد که انتخاب بهترین روش به نظر دندانپزشک و شرایط بیمار بستگی دارد. در این بخش به مراحل قالب گیری ایمپلنت اشاره میکنیم:
انتخاب تری قالب گیری
تری به تکیه گاهی از جنس فلز یا پلاستیک گفته میشود که مواد قالب گیری بر روی آن قرار میگیرند. این کار از اهمیت زیادی برخوردار است و باید توسط بهترین دکتر ایمپلنت دندان در تهران انجام شود؛ زیرا باید به قوس دندان بیمار توجه شده و تکیه گاه مناسبی انتخاب شود.
انتخاب مواد قالب گیری
در این مرحله باید مواد قالب گیری انتخاب شوند. معمولا از آلژینات برای این کار استفاده میشود. آلژینات نسبت به دیگر مواد، مزایای بیشتری دارد؛ برای مثال تنظیم آن سریعتر انجام میشود و برای بیماران حساس مناسبتر است.
تهیه خمیر قالب گیری
برای تهیه خمیر قالب گیری، دندانپزشک پودر قالب گیری را با کمی آب مخلوط کرده و یک دقیقه هم میزند تا به صورت شکلپذیر و خامهای درآید. سپس آن را درون سینی قالب ریخته و با دقت داخل دهان بیمار قرار میدهد.
خارج کردن
خمیر قالب گیری باید چند دقیقه با دندانها در ارتباط باشد تا خشک شود. سپس دندانپزشک به آرامی آن را از دهان فرد خارج میکند. شکل دندان، لثهها و فک بر روی خمیر باقی میمانند و با توجه به آنها روکش ایمپلنت ساخته خواهد شد.
در زمان مشاوره ایمپلنت درباره چه مواردی باید صحبت کرد؟
زمانی که تصمیم گرفتید برای بهبود مشکلات دندانی خود از ایمپلنت استفاده کنید، باید یک وقت مشاوره با متخصص ایمپلنت در تهران رزرو نمایید. در این زمان، دندانپزشک سلامت کلی دهان و دندان شما را ارزیابی میکند. ایشان بررسی میکنند که آیا دچار مشکلات اساسی سلامت دندان هستید و پیش از اقدام برای جراحی به درمانهای دیگر نیاز خواهید داشت یا نه. علاوه بر این، فک شما به صورت کامل بررسی میشود تا پزشک اطمینان حاصل کند که ایمپلنت میتواند در آن قرار بگیرد.
در جلسه مشاوره، از دندانپزشک بخواهید تا روش جراحی را برایتان توضیح دهد تا نگرانی و استرسی از این بابت به وجود نیاید. به طور کلی میتوانید همه سوالاتی که ذهنتان را مشغول کردهاند را بپرسید و دندانپزشک نیز موظف است به همه سوالاتتان با دقت پاسخ دهد. علاوه بر این، درمانهای ساده مانند پر کردن میتوانند در جلسه مشاوره انجام شوند تا فرآیند کاشت دندان شما سریعتر انجام شود. اما برای درمانهای پیچیدهتر مانند سینوس لیفت به زمان بیشتری نیاز است که باید مجددا نوبت دریافت کنید.
در این جلسه، دندانپزشک نیز سوالاتی مطرح میکند تا مطمئن شود که ایمپلنت بهترین گزینه برای شما به شمار میرود. در صورتی که مبتلا به مشکلات سلامتی یا بهداشتی هستید، حتما دندانپزشک را در جریان بگذارید. برخی از افراد به دلیل داشتن مشکلات سلامتی مانند دیابت ممکن است نتوانند برای انجام این درمان اقدام کنند. بنابراین با صداقت و دقت به سوالات دندانپزشک پاسخ دهید تا با مشکلات جدی روبرو نشوید.
چرا ایمپلنت ها نوعی سرمایه گذاری هستند؟
ایمپلنتهای دندانی در ظاهر گران قیمت به نظر میرسند، به ویژه زمانی که آنها را با سایر روشها مقایسه میکنید. با این وجود، روشهای ارزانتر مانند بریجها و پروتزها باید هر ۵ تا ۱۰ سال یکبار تعویض یا تعمیر شوند. هزینه تعویض، تعمیر یا نگهداری از این روکشها در طولانی مدت بسیار زیاد است؛ اما برای کاشت ایمپلنت فقط یکبار هزینه میشود و میتواند یک عمر دوام و ماندگاری داشته باشد. علاوه بر این، ایمپلنتها از تحلیل استخوان فک نیز جلوگیری میکنند؛ در حالیکه بریج و پروتز این قابلیت را ندارند.
تحلیل رفتن استخوان فک با مشکلات زیادی همراه است و باعث تغییر شکل صورتتان خواهد شد و شما را پیر و مسن نشان میدهد. با بروز این مشکل، دندانهای سالم نیز لق شده و از دست میروند. بنابراین ایمپلنت با حفظ ساختار استخوان فک، به عنوان یک سرمایه گذاری ارزشمند شناخته میشود و ارزش پرداخت هزینه را خواهد داشت.
بهترین مرکز ایمپلنت در تهران
اگر دندانهایتان را از دست دادهاید و به دنبال بهترین روش برای جایگزین کردن آنها هستید، ایمپلنت میتواند بهترین و بادوامترین گزینه باشد. ایمپلنتها، ریشههای مصنوعی هستند که درون استخوان فک قرار میگیرند تا فضای خالی را پر کنند. آنها شباهت زیادی به دندانهای طبیعی دارند و با مراقبت مناسب طول عمر زیادی خواهند داشت. اگر به دنبال بهترین مرکز ایمپلنت تهران هستید، ادامه مطلب را از دست ندهید؛ چون قصد داریم معتبرترین مرکز ایمپلنت تهران را به شما معرفی میکنیم.
ویژگیهای بهترین کلینیک ایمپلنت تهران
انتخاب بهترین مرکز ایمپلنت اهمیت زیادی دارد و میتواند بر روی نتیجه نهایی تاثیرگذار باشد. مرکزی که برای کاشت دندان انتخاب میکنید باید ویژگیهای زیر را داشته باشد:
دارای تجهیزات پیشرفته
یکی از مهمترین ویژگیهایی که مراکز ایمپلنت باید داشته باشند، استفاده از تجهیزات پیشرفته است. تجهیزات نقش مهمی در موفقیت و دقت کاشت دندان دارند. اگر کلینیکی با تجهیزات قدیمی را انتخاب کنید، برای انجام برخی مراحل مجبور میشوید به مراکز دیگر مراجعه کنید که این موضوع منجر به هدر رفتن هزینه و زمانتان خواهد شد.
حضور متخصصان مجرب و حرفهای
تخصص و تجربه دندانپزشک، تاثیر بسزایی بر موفقیت ایمپلنت دارد. کاشت ایمپلنت از حساسیت زیادی برخوردار است و متخصص باید تجربه زیادی در این زمینه داشته باشد. اگر این کار توسط افراد غیرحرفهای انجام شود، احتمال آسیب به عصبهای فک و ایجاد مشکلاتی مانند بیحسی صورت یا آسیب به سینوسها وجود دارد.
پرسنل ماهر و متخصص
در فرآیند کاشت دندان، تخصص و مهارت پرسنل نیز به اندازه پزشک اهمیت دارد. بیمار با پرسنل کلینیک مانند منشی، دستیار دندانپزشک، مسئول لابراتوار و … سروکار دارد که همه این افراد در روند درمان تاثیرگذار هستند و باید در برابر بیمار مسئولیتپذیر باشند. پرسنل ماهر و متخصص، زمان دقیقی برای مراحل ایمپلنت تعیین میکنند و نکات پس از جراحی را به بیمار آموزش میدهند.
نوبتدهی منظم
نوبتدهی منظم، یکی از اصلیترین ویژگیهای بهترین کلینیک ایمپلنت تهران میباشد. ایمپلنت فرآیندی طولانی و زمانبر است و اگر نوبتدهی آن غیراصولی انجام شود، ممکن است طول درمان از حالت عادی طولانیتر شده و برای بیمارانی با شرایط خاص مشکل ایجاد کند.
داشتن محیطی آرام، بهداشتی و استریل
فضای کلینیک میتواند بر تجربه بیماران تاثیرگذار باشد. یک مرکز ایمپلنت دندان خوب، محیطی بهداشتی و آرام دارد تا عفونت و باکتری به دهان بیماران نفوذ نکند و با خیال راحت مراحل درمان را پشت سر بگذارند. ضدعفونی کردن تجهیزات و رعایت استانداردهای بهداشتی از جمله مواردی است که از انتقال عفونت جلوگیری کرده و سلامت مراجعهکنندگان را تضمین میکند.
رضایت بیماران
میزان رضایت بیماران قبلی از یک مرکز ایمپلنت، از دیگر فاکتورهایی است که باید مورد توجه قرار دهید. مراجعین قبلی میتوانند منبع معتبری برای بررسی کیفیت خدمات یک کلینیک باشند. هم از طریق حضوری و هم از طریق شبکههای اجتماعی میتوانید با مراجعین ارتباط برقرار کنید و نظرشان را بپرسید. هر چه تعداد رضایت بیماران بیشتر باشد، کلینیک حرفهایتر است.
استفاده از برندهای معتبر ایمپلنت
یکی از مهمترین عوامل تاثیرگذار بر موفقیت و ماندگاری ایمپلنت، کیفیت برند آن است. در بهترین مرکز ایمپلنت ایران از برندهای باکیفیت و معروف استفاده میشود و بهترین گزینه بر اساس بودجه و شرایط بیمار به او معرفی خواهد شد. برخی کلینیکها برای جذب مشتری از ایمپلنتهای نامعتبر و ارزان استفاده میکنند که در نهایت بیمار را با هزینههای مجدد روبرو میکنند.
ارائه خدمات با قیمت منطقی
قیمت ایمپلنت برای بسیاری از مراجعه کنندگان حائز اهمیت است. باید به کلینیکی مراجعه کنید که در آن هزینه در نظر گرفته شده با کیفیت خدمات متناسب باشد. معتبرترین کلینیک ایمپلنت در تهران، قیمتهای شفاف و معقولی دارد و جزئیات هزینهها را در اختیار بیماران قرار میدهد. هزینههای بیش از حد بالا یا پایین نشاندهنده تبلیغات اغراق آمیز و کیفیت پایین خدمات هستند.
چگونه بهترین کلینیک ایمپلنت تهران را پیدا کنیم؟
اکنون که با ویژگیهای بهترین مرکز ایمپلنت دندان آشنا شدید، بهتر است بدانید چگونه از میان تعداد زیاد مراکز، بهترین گزینه را انتخاب کنید.
مشورت با کسانی که تجربه ایمپلنت داشتهاند
نظر افرادی را بپرسید که تجربه کاشت ایمپلنت دارند و از نتیجه راضی هستند. تجربه این افراد میتواند اطلاعات مفیدی درباره تخصص دندانپزشکان مختلف و کیفیت خدمات در اختیارتان بگذارد.
پرسوجو از دندانپزشکان
شما میتوانید از دندانپزشکان عمومی بخواهید تا بهترین کلینیک ایمپلنت در تهران را به شما معرفی کنند. این پزشکان میتوانند اطلاعات ارزشمندی در اختیارتان قرار دهند.
بررسی نظرات بیماران
امروزه بسیاری از بیماران، تجربیات خود را در شبکههای اجتماعی و فضای مجازی به اشتراک میگذارند. بررسی نظرات این افراد میتواند نشاندهنده میزان رضایت آنها از کلینیک موردنظر باشد.
بررسی امکانات کلینیک و تخصص پزشکان
مراکز ایمپلنت معتبر از تجهیزات پیشرفته و پزشکان باتجربه بهره میبرند. پیش از اقدام برای جراحی بهتر است درباره تخصص دندانپزشکان، استانداردهای بهداشتی و برندهای ایمپلنت مورد استفاده کلینیک اطلاعات کسب کنید.
بهترین مرکز کاشت ایمپلنت در تهران
همه افرادی که قصد کاشت ایمپلنت در تهران را دارند میدانند که در این شهر کلینیکهای زیادی وجود دارد و همین موضوع انتخاب را دشوار کرده است. در بخشهای قبل به ویژگیهای بهترین مرکز ایمپلنت در تهران پرداختیم تا بتوانید انتخابی هوشمندانه داشته باشید.
یکی از بهترین کلینیکهای ایمپلنت تهران که انواع خدمات دندانپزشکی و کاشت دندان را ارائه میدهد، کلینیک اسمارت ایمپلنت است. تیم دندانپزشکی این کلینیک از بهترین و مجربترین دندانپزشکان و جراحان کشور تشکیل شده است که سابقه درخشانی در زمینه کاشت دندان دارند. تمامی پزشکان این مجموعه در معتبرترین دانشگاههای ایران و جهان تحصیل کردهاند و به صورت مداوم در دورههای بینالمللی شرکت میکنند تا دانش و مهارت خود را ارتقاء دهند. بنابراین به افرادی که به دنبال بهترین مرکز ایمپلنت ایران هستند، پیشنهاد میشود به اسمارت ایمپلنت مراجعه کنند.


